成果简介(300-500字)
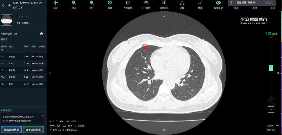
白云医疗影像系统是广州市白云区卫健委推动健全社区-中心医院体系的中间平台。白云医疗影像系统联合中心平台和各个社区医院实现患者影像检查的诊断和会诊功能。从中心平台可得到各个社区医院上传的患者影像数据进行诊断和联合会诊,并将诊断报告返回给中心平台。通过点击患者影像检查单中的AI影像分析按钮,可以跳转至AI影像分析系统上查看该患者的AI影像分析结果。普通影像分析和AI影像分析的结果可以大大地提高医生对患者病情诊断的准确率和效率,加强了各级社区医院与中心医院主治医生的交流与合作,均衡了各级医院医生资源,为广大患者带来更多便利。




技术创新
为医疗影像提供了一种针对docom格式的图片文件的标注工具和存在方式。为不同医院的医生搭建远程会诊桥梁,实现AI阅片。
市场前景及应用领域
该项目的成功落地和实施,推动了下级社区医院和中心医院医生的交流发展,拓展了医院医生诊断渠道,能够高效地均衡和综合医院医生资源,具有良好的应用前景。该项目主要应用领域是医疗影像的诊断。
联系人:技术转化中心
联系方式:26536230